









适用于经直肠,经阴道检查

高频率成像,更适用于婴幼儿小器官,血管检测

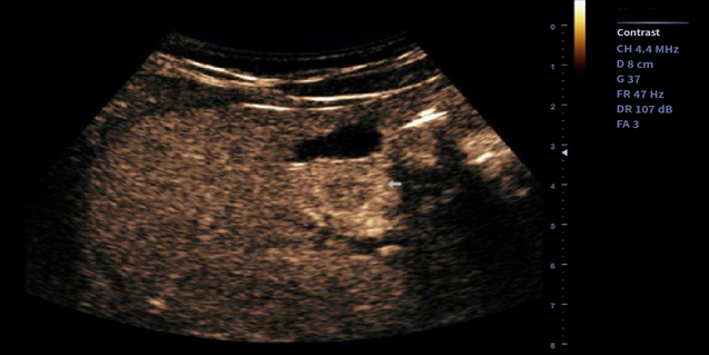
适用于腹部,妇产,泌尿等

适用于浅表组织、小器官,神经,血管等

适用于成人心脏

频率高于传统心脏探头,更适用于婴幼儿心脏

频率高于传统凸阵探头,作用面积更小,更适用于婴幼儿腹部

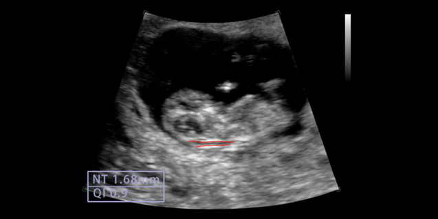
腹部,胎儿检查

256阵元数,61.5*23.4成像范围,更适用于乳腺扫查。
IBS技术使得探头灵敏度和带宽均提高40%,一致性提升37%,长期稳定性提升42%
传统

微血流成像

传统
并行16波束










